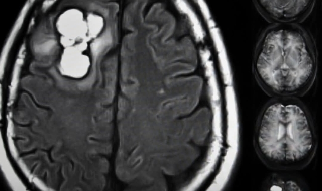
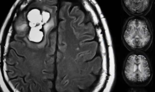
Glioblastomun Zayıf NoktasıNormal beyin hücreleri enerjilerini glikozdan alarak beyin fonksiyonlarını sürdürürken, glioblastom hücreleri şekeri yalnızca enerji için değil, aynı zamanda hızlı çoğalma ve doku istilası için yapı taşı olarak kullanıyor. Bilim insanları, bu tümörlerin özellikle serin ve glisin gibi amino asitleri içeriden üretmek yerine doğrudan kandan “çektiğini” ortaya koydu.Diyet Müdahalesi ile Yavaşlayan TümörlerAraştırma ekibi, fareleri bu amino asitlerden yoksun bir diyetle beslediğinde tümörlerin büyüme hızında ciddi bir yavaşlama gözlemledi. Ayrıca, bu beslenme düzeni uygulanan farelerin radyasyon ve kemoterapiye daha iyi yanıt verdiği bildirildi.Yeni Tedavi UfuklarıÇalışmayı yürüten ekip, bulguların glioblastom tedavisinde beslenme temelli ek tedavi yöntemleri için yeni kapılar açabileceğini belirtiyor. Özellikle serin ve glisin gibi amino asitlerin sınırlanmasının, gelecekte mevcut tedavilere destekleyici bir strateji haline gelebileceği vurgulandı.
Uzman GörüşüAraştırmacılar, “Bu hastalık tanıdan sonraki iki yıl içinde hastaların büyük kısmını kaybettiriyor. Eğer klinik deneylerde de benzer sonuçlar alınırsa, glioblastom tedavisinde yeni bir dönem başlayabilir,” ifadelerini kullandı.
Uzman GörüşüAraştırmacılar, “Bu hastalık tanıdan sonraki iki yıl içinde hastaların büyük kısmını kaybettiriyor. Eğer klinik deneylerde de benzer sonuçlar alınırsa, glioblastom tedavisinde yeni bir dönem başlayabilir,” ifadelerini kullandı.









